Әлем • 25 Шілде, 2017

Әлемде компаниялар қызметкерлеріне микрочип ендіруде

270 рет
көрсетілді
1 мин
оқу үшін

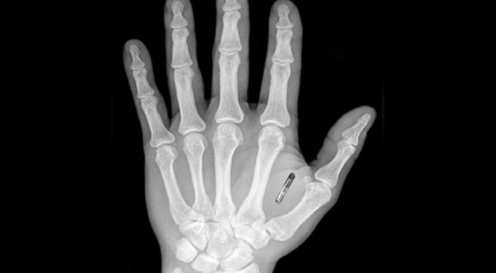
​​​​​​​Америкалық Three Square Market пен шведтік Epicenter компаниялары қызметкерлерінің қолына микрочиптер ендірген.

Әлемде компаниялар қызметкерлеріне микрочип ендіруде

TheVerge басылымының хабарлауынша, бұл шара офис-қызметкерлерінің өмірін жеңілдету үшін ойлап табылған. Ендігі олар қолын бір сермеу арқылы офистегі барлық есіктерді ашып, түскі асын алып, принтерден қағаздарын басып шығара алады.

Компания басшысы Тодд Уэстбидің айтуы бойынша, АҚШ-та бұл технологияны алғаш болып қолдануға Three Square Market шешім қабылдады. Өлшемі күріш дәнімен бірдей микрочипті бас бармақ пен сұқ саусақ арасына орналастырады. Чиптеуге қызметкерлер өз еркімен ғана қатысуда. Three Square Market вице-президенті Тони Даннаның пайымдауынша, 85 қызметкердің 50-і келісім беріпті.

Ал шведтік Epicenter компаниясында 150 киборг-қызметкер жұмыс істеуде. Олар өлшемі 2 сантиметр NFS-чиптерін қондырып алған. Бұл микрочиптердің артықшылығы – жұмыс барысында көмектесумен қатар, адамның денсаулығы жайлы медициналық ақпараттар жинайды. Ол иесінің қайда баратынын және қандай тағам қабылдайтынын ескеріп отырады.

Компания қызметкерлері мен басшыларының айтуынша, микрочип орнатқаннан кейін пластикалық карталар мен кілттердің еш қажеттілігі болмай қалды. Ал  «чиптелген» қызметкерлер әзірге чип орнатпаған әріптестерін жаңа үрдіске қосылуға шақыруда.

Соңғы жаңалықтар